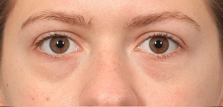
Description: Dr. Lexie Wang used 1 syringe of belotero and 1 syringe of restylane contour.
Your Vision Our Expertise
From your first visit to your final results, our providers deliver a seamless experience centered on your goals. Book your consultation now and discover the difference of refined, personalized care in the heart of Washington, D.C.
Error with Form Submission
There was an error processing your form. Please try again later.